Υπερηχογραφικές Εξετάσεις & Ακτινογραφίες στην Κέρκυρα
Στο Ιατρείο πραγματοποιούνται όλες οι υπερηχογραφικές εξετάσεις, εξετάσεις έγχρωμου Doppler, Triplex αγγείων, ελαστογραφίες 2D Shear Wave, UGAP (Ultrasound guided Attenuation Parameter) για την ποσοτικοποίηση της λιπώδους διήθησης του ήπατος, ακτινογραφίες σε νεογνά, βρέφη, παιδιά και σε ενηλίκους.
Αναλυτικά οι εξετάσεις που πραγματοποιούνται:
Υπερηχογραφήματα για Νεογνά, Βρέφη & Παιδιά
- Εγκεφάλου
- Τραχήλου(για κύστεις-συγγενείς ανωμαλίες κ.α.)
- Λεμφαδένων
- Σιελογόνων αδένων (παρωτίδων - υπογνάθιων - υπογλώσσιων)
- Θυρεοειδούς - παραθυρεοειδών αδένων
- Μαλακών μορίων (σώματος - κεφαλής - προσώπου)
- Θώρακος (για υπεζωκοτικές συλλογές πνεύμονα για περιφερικές πυκνώσεις, ατελεκτασίες) και προσθίου μεσοθωρακίου (για θύμο αδένα, λεμφαδένες κ.α.)
- Μαστών (για θηλαρχή - ανάπτυξη - φλεγμονές κ.α.)
- Οισοφάγου – στομάχου και πυλωρού (για γαστροοισοφαγική παλινδρόμηση και υπερτροφική πυλωρική στένωση)
- Άνω και κάτω κοιλίας: Ήπατος – χοληφόρων – χοληδόχου κύστεως – παγκρέατος - σπληνός
- Ομφαλού – μέσης γραμμής (για κήλες - ουραχό)
- Ουροποιητικού συστήματος: νεφρών, ουρητήρων, ουροδόχου κύστεως
- Υπερηχογράφημα εντέρου-δεξιού λαγονίου βόθρου (για εγκολεασμό – φλεγμονώδεις νόσους του εντέρου – σκωληκοειδίτιδα – Μεκέλειο απόφυση κ.α.)
- Έσω γεννητικών οργάνων (μήτρας - ωοθηκών για πρώιμη ήβη – κύστεις κ.α.)
- Βουβωνικής χώρας (για κήλες – κρυψορχία κ.α.)
- Οσχέου (όρχεων και επιδιδυμίδων για συστροφή – κύστη Morgagni – κάκωση – φλεγμονή – κιρσοκήλη κ.α.)
- Ισχίων για αναπτυξιακή δυσπλασία – συγγενές εξάρθρηματων ισχίων καθώς και για υμενίτιδα ισχίου
- Ιεροκοκκυγικής μοίρας (για συρίγγια)
Υπερηχογραφήματα
για Ενήλικες
- Τραχήλου
- Θυρεοειδούς - παραθυρεοειδών αδένων
- Σιελογόνων αδένων (παρωτίδων - υπογνάθιων - υπογλώσσιων)
- Ήπατος - χοληφόρων – χοληδόχου κύστεως – παγκρέατος - σπληνός
- Ουροποιητικού συστήματος: νεφρών – ουρητήρων - ουροδόχου κύστεως
- Έσω γεννητικών οργάνων (μήτρας - ωοθηκών)
- Δεξιού λαγονίου βόθρου
- Οσχέου
- Βουβωνικής χώρας
- Μαλακών μορίων (σώματος - κεφαλής - προσώπου)
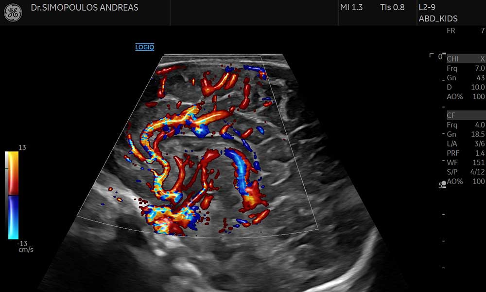
Έγχρωμα Doppler
Εκτός από τις κλασικές μεθόδους (Color Doppler και Power Doppler), υπάρχει η δυνατότητα για πιο αντικειμενική τεχνική ανίχνευση της μικροαγγείωσης – MVI (Microvascular Imaging), τεχνική B-Flow, σε περιοχές ιδιαίτερα χαμηλών αιμοδυναμικών ροών καθώς και η νέα τεχνολογία Radiant Flow (Εξελιγμένη απεικόνιση έγχρωμου Doppler η οποία προσφέρει πληροφορία βάθους για την καλύτερη οριοθέτηση των αγγείων προσδίδοντας την αίσθηση της 3D απεικόνισης).
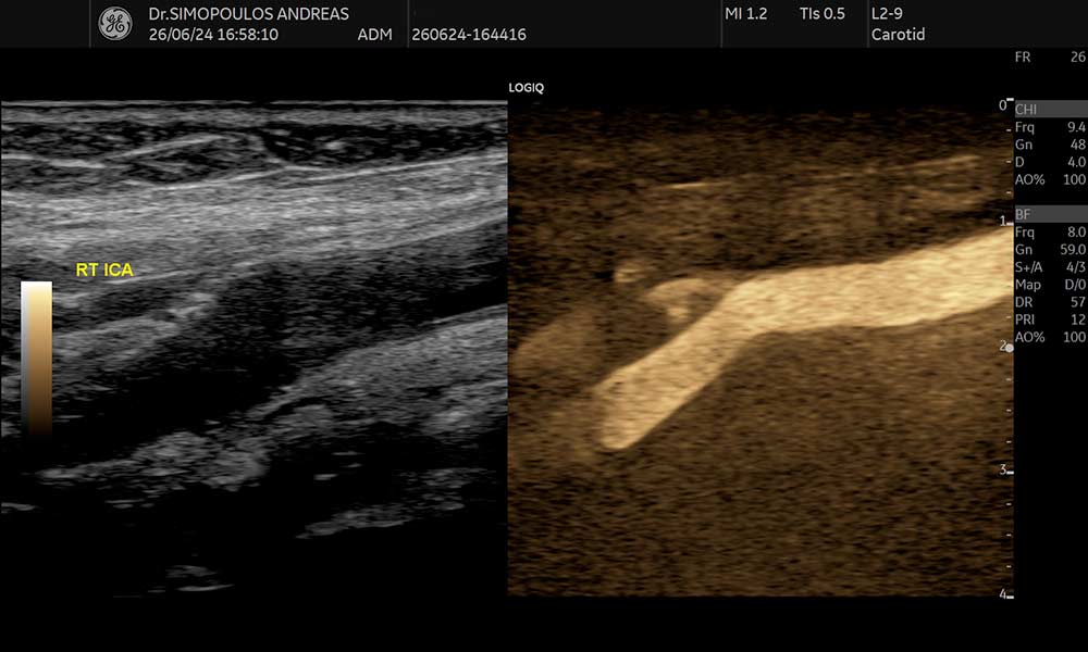
Triplex Αγγείων
- Καρωτίδων και σπονδυλικών αρτηριών
- Κοιλιακής αορτής και κλάδων
- Σπλαγχνικών αγγείων
- Σπληνοπυλαίου άξονα
- Αρτηριών και φλεβών άνω και κάτω άκρων
- Οσχέου
ΕΛΑΣΤΟΓΡΑΦΙΕΣ
UGAP
Κατ' οίκον Υπερηχογραφήματα & Triplex Αγγείων
Το Ιατρείο διαθέτει επίσης τελευταίας τεχνολογίας φορητό υπερηχοτομογράφο LOGIQ v2 της εταιρείας General Electric Healthcare, επίσης με ειδικά λογισμικά και ειδικές κεφαλές για εξετάσεις υπερήχων, έγχρωμων Doppler και triplex αγγείων σε νεογνά, βρέφη και παιδιά καθώς και για ενήλικες σε περιπτώσεις αδυναμίας μετακίνησης.




